客户成果|miR-1293 通过调节顺铂治疗的药物敏感性来抑制骨肉瘤
日期:2025-06-24
来源:华腾生物

祝您天天有果,月月发文。

华腾生物动物试验服务部感谢大家的支持和厚爱,祝各位科研顺利,文章陆续有来。

标题:miR-1293 suppresses osteosarcoma progression by modulating drug sensitivity in response to cisplatin treatment

时间:2024.1

单位:中山大学附属第一医院

期刊:International Immunopharmacology      IF= 5.6

原文链接:https://doi.org/10.1016/j.intimp.2024.111702

 

化疗被认为是骨肉瘤的主要治疗方法,顺铂作为一种铂类药物,会干扰DNA合成并导致细胞凋亡,被广泛用于实体瘤,也是作为骨肉瘤最为常用的化疗药物。然而,由于耐药性和毒性,其有效性有限。因此,迫切需要确定新的治疗靶点来增强化疗的疗效。该研究通过上调肿瘤抑制基因miR-1293确定了一种新的顺铂敏感性增强机制。同时,在化疗前患者中观察到的较高水平的 miR-1293 与更有利的预后相关。顺铂上调 miR-1293 表达的机制涉及 miR-1293 启动子的低甲基化,从而阻断转录阻遏蛋白 TFAP2A 与启动子的结合。此外,miR-1293 通过靶向 TIMP1 灭活 Notch1/Hes1 和 TGFBR1/Smad2/3 通路来抑制骨肉瘤进展,从而促进肿瘤细胞死亡。研究结果揭示了一种增强顺铂敏感性的新机制,并提出了一种通过化疗前补充 miR-1293 来治疗骨肉瘤的潜在治疗策略。

 

华腾生物为该研究提供动物试验和样品处理检测服务,我们拥有一支具备丰富的科研经验和专业知识的服务团队,所有服务流程均符合美国FDA-GLP规范。提供的八大核心业务,包括动物模型、大动物实验、生物学评价、毒理学风险评估、生物相容性、病理检测、CMA检测、生化指标检测分析。

图片

 

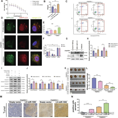
Mir-1293在体内和体外抑制骨肉瘤细胞生长,并增强对顺铂的凋亡和化学敏感性。(A,B)通过MG63细胞的CCK-8测定显示,miR-1293的过表达增加了化学敏感性(n = 4)。(C,E)通过流式细胞术测量空载体组和miR-1293过表达组在有或无顺铂处理下的凋亡情况(n = 3)。Q2区域代表处于凋亡早期的细胞,而Q3区域代表处于凋亡晚期的细胞。总凋亡率通过Q2 + Q3计算。(D)在顺铂处理24小时后的三组中,GFP-LC3斑点和mRFP-LC3斑点的代表性荧光图像(n = 3)。比例尺= 25µm。(F)每个细胞中GFP-LC3斑点和mRFP-LC3斑点的数量。(G,H)用针对LC3、P62和GAPDH的特异性抗体对空载体、miR-1293过表达和miR-1293抑制剂细胞裂解物进行免疫印迹分析。三组细胞用顺铂(15µg/ml)处理24小时(n = 3)。LC3和P62的相对定量以GAPDH为标准化。(I,J)空载体、miR-1293过表达和miR-1293抑制剂组中凋亡相关蛋白的Western blot分析。三组细胞用顺铂(15µg/ml)处理24小时(n = 3)。凋亡相关蛋白的相对定量以β-肌动蛋白为标准化。(K)体外肿瘤结节的代表性图像(n = 4)。(L)在第28天注射后从每组裸鼠身上移除的肿瘤结节的重量。(M,N)从每组移除的肿瘤结节的TUNEL染色和分析以及各自的定量(n = 3)。比例尺= 200µm。* P < 0.05。** P < 0.01。*** P < 0.001( t检验)。

 

图片

 

miR-1293在体内和体外均抑制OS的增殖和迁移。(A、B)在MG63细胞中过表达miR-1293抑制菌落形成(n = 3)。(C)通过MG63细胞的CCK-8测定,过表达miR-1293抑制细胞增殖(n = 3)。(D-G)Transwell测定显示,过表达miR-1293抑制MG63细胞的迁移和侵袭(n = 5)。比例尺= 100µm。(H、I)活体成像显示静脉注射后4周体内和体外的肺转移活性(n = 6)。(J、K)苏木精和伊红染色显示肺切片中的肿瘤结节(n = 5)。(L、M)在空载体、过表达miR-1293和miR-1293抑制剂细胞中分析N-钙粘蛋白、E-钙粘蛋白和波形蛋白的蛋白质水平(n = 3)。比例尺= 100µm。* P < 0.05。** P < 0.01。*** P < 0.001(t检验)。

 

在线留言
选择服务
动物模型库
药物临床前CRO服务
医疗器械临床前评价
科研服务
第三方检测服务
实验室平台
您的姓名 *
您的电话 *
您的公司 *
您的邮箱
您的职位
贵司产品
需求描述 *
请输入验证码
captcha